ֿ
畫廊
熱門類別
每日
動物
食物
景觀
蛋糕
孩子們
藝術
冬季
狗
植物
建築
貓
海灘
水果
車輛
使用者拼圖
所有类别
英文
法文
西班牙文
葡萄牙文
繁體中文
義大利文
德语
日本人
保加利亞語
瑞典
希伯來文
波拉康
類別
熱門類別
每日
動物
食物
景觀
蛋糕
孩子們
藝術
冬季
狗
植物
建築
AI Art
貓
海灘
水果
車輛
使用者拼圖
所有类别
畫廊
創建
🔍
登入
註冊
我的拼圖
載入已儲存的拼圖
我的最愛
偏好設定
登出
英文
法文
西班牙文
葡萄牙文
繁體中文
義大利文
德语
日本人
保加利亞語
瑞典
希伯來文
波拉康
JSPuzzles需要javascript支援
每日拼圖
自然
寵物
景觀
海灘
植物
戶外活動
食物
海洋
建築
水果
森林
寵物
景觀
植物
海洋
森林
午餐
吉普車
法式吐司
培養
阿芬平徹
黃銅部分
象
使用者拼圖
NeuroThemed
Brain and Vision
最新的拼圖
最舊的拼圖
獲得最高分數的拼圖
獲得最低分數的拼圖
最多人評分的拼圖
最少人評分的拼圖
完成最多次的拼圖
完成最少次的拼圖
1-9 的 9
相簿名稱:
Brain and Vision
相簿擁有者:
NeuroThemed
敘述:
Cajal 's retina drawing
0.0
54
Brain Slices 1
5.0
54
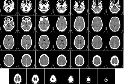
CT of human brain
5.0
42
Histopathology of Neurofi...
1.57
82
Shephard Elephant illusion
5.0
74
Rotating Snakes Illusion
5.0
96
Akiyoshi Kitaoka 's Wavin...
5.0
56
Sobotta 1908 Human Anatomy
5.0
53
Cells of Chick Cerebellum
5.0
78
9 找到拼圖
1
更多類別