גלריה
קטגוריות פופולריות
פאזל יומי
חיות
מזון
נוף
עוגה
ילדים
אומנות
חורף
כלב
צמח
ארכיטקטורה
חתול
ביגוד
פרי
רכב
אלבומי משתמשים
אנגלית
צרפתית
ספרדית
פורטוגזית
סינית
איטלקית
גרמנית
יפנית
בולגרית
שוודית
עברית
פולנית
קטגוריות
גלריה
צור פאזל
🔍
התחבר/י
הרשמה
הפאזלים שלי
טען משחק שמור
המועדפים שלי
שינוי הגדרות
התנתקות
אנגלית
צרפתית
ספרדית
פורטוגזית
סינית
איטלקית
גרמנית
יפנית
בולגרית
שוודית
עברית
פולנית
הדפדפן שלך אינו מאפשר להריץ סקריפטים, אתר זה לא יוצג כהלכה.
25 חלקים
אפשרויות
הזמן שלך
00:00
זמן ממוצע
00:00
זמן שיא
--:--
הזמן שלך
00:00
25 חלקים
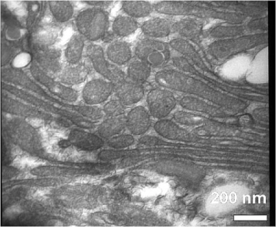
Complexo de golgi e VesÃculas (Embrião...
פאזל זה הועלה לאתר על ידי משתמש,
פאזל זה שייך לאלבום משתמש
My Album
שייך ל:
Isabeleoli
מאובנים
ספר
מזון
מחוץ לבית
משקאות
1
2
3
4
5
(דרג את התמונה) 0.00 / 0 מדרגים
שיתוף פאזל:
השיא נקבע על ידי: Not set yet
מקור התמונה וזכויות יוצרים: Marcela
פאזלים דומים
נוף
4.41
5,197
נוף
4.52
5,558
נוף
4.59
4,028
נוף
4.67
3,926
נוף
4.49
4,470
נוף
4.63
3,243
נוף
4.56
5,052
נוף
4.61
4,115
אומנות
4.47
11,604
פרי הדר
4.61
30,991
אומנות
4.54
5,465
לחמנייה
4.55
5,082
קטגוריות נוספות
#מאובנים
#חיות
#חיית מחמד
#כלב
#דלמטי
#קוקר ספניאל
#פפילון
#ספניאל
#כלבלב
#כלב
#ביגל
#צ'יוואווה
#גולדן רטריבר
#קולי
#האסקי
#אסקימו כלב
#רועה גרמנית
#לברדור רטריבר
#בולדוג
#מתאגרף
#בוסטון בול
#בולדוג צרפתי
#פיטבול
#פאג
#פיינפינשר
#טרייר
#איירדייל
#מצביע
#כלב לבן
#ניופאונדלנד
#כלב המשטרה
#סנט ברנרד
#פודל
#צ'או
הפאזל היומי
שחק/י
#גינון
Complexo de golgi e VesÃculas (Embrião de 47 dias) - 25 חלקים
הזמן שלך:
קבעת שיא חדש, הזמן שלך מדורג
הכנס את שמך:
אנא המתן
כבר קבעת שיא טוב יותר לפאזל זה! רק הזמן הטוב ביותר שלך נשמר
המשך
סיימת את הפאזל!
המשך
X
האם להפסיק את המשחק ולחזור לדף הבית?
בחזרה למשחק
חזור לדף הבית
X
לערבב שוב את החלקים?
עירבוב יגרום להתחלת המשחק מחדש
ערבב שוב
בטל וחזור למשחק
אנא המתן
בטל
Complexo de golgi e VesÃculas (Embrião de 47 dias) - המשחק מושהה
המשך משחק
X
שמור משחק
כדי להשתמש באפשרות זו עליך להתחבר למשתמש שלך.
ניתן להתחבר או ליצור משתמש חדש מדף הבית.
בטל
X
אפשרויות
העבר חתיכות פאזל גדולות מאחורי חתיכות קטנות יותר?
כן
לא
שתף את הפאזל
בחזרה למשחק
<